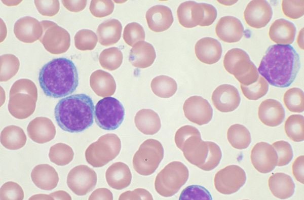
18 марта. Letnews.ru — Ученые из Стэнфордской медицинской школы разработали метод превращения клеток-лимфобластов, которые вызывают лейкемию, в иммунные клетки-макрофаги. Отмечается, что такие клетки-макрофаги самостоятельно начинают бороться с лейкемией.
В нормальном состоянии лимфобласты являются незрелыми белыми клетками крови — лимфоцитами. Но при острой лимфобластической лейкемии такие клетки не могут развиться в лимфоциты и снижают количество красных кровяных телец эритроцитов. Такое заболевание обычно развивается у детей от 2 до 5 лет, а больные ею дети в 20 % случаев умирают в течение 5 лет.
Теперь ученые намерены заняться разработкой лекарства, которое будет преобразовывать лейкемические клетки в иммунные прямо в организме больного ребенка.
